Produits clés
Illuccix™
I-131 solution orale
F-18 FDG
Générateur Galli Eo™ Ga-68 et accessoires
NeuraCeq™
NaF Plus
Trousse Isologic d’injection de pyrophosphate
IlluccixTM
Isologic distribue des trousses froides et des doses unitaires Illuccix™
Après radiomarquage au Ga-68, Illuccix™ est indiqué pour l’imagerie par tomographie par émission de positons (TEP) des lésions positives à l’antigène membranaire spécifique de la prostate (PSMA) chez les hommes atteints d’un cancer de la prostate. Il est utilisé chez les patients présentant une suspicion de métastase et candidats à un traitement initial définitif, chez ceux présentant une suspicion de récidive indiquée par un taux sérique élevé d’antigène prostatique spécifique (PSA), et pour identifier les patients atteints d’un cancer de la prostate métastatique progressif résistant à la castration (mCRPC) susceptibles d’être éligibles à un traitement ciblant le PSMA. Illuccix™ est administré en bolus intraveineux lent, suivi d’une injection intraveineuse de chlorure de sodium stérile à 0.9 % pour assurer une administration complète de la dose.
I-131 solution orale
La solution d’iode radioactif d’Isologic est utilisée dans la production de gélules diagnostiques et thérapeutiques.
La thérapie à l’iode radioactif avec une solution buvable d’iode 131 est utilisée en ablation, en traitement d’appoint et en cas de récidive du cancer de la thyroïde. En ablation, elle détruit le tissu thyroïdien normal restant après la chirurgie, facilitant ainsi la surveillance à long terme de la progression ou de la propagation du cancer. De plus, l’ablation améliore l’efficacité des traitements ultérieurs à l’iode radioactif en permettant l’administration de doses plus élevées si nécessaire. En traitement d’appoint, l’iode radioactif aide à détecter et à éliminer les maladies résiduelles suspectées et les métastases distales, réduisant ainsi le risque de rechute ou de récidive du cancer différencié de la thyroïde (CDT). En cas de récidive du cancer de la thyroïde, des formulations diagnostiques sont utilisées pour les études de captation thyroïdienne, permettant aux cliniciens d’évaluer la fonction thyroïdienne et d’orienter les décisions thérapeutiques ultérieures.
F-18 FDG
Le F-18 FDG est indiqué pour l’imagerie chez les patients subissant des procédures de diagnostic oncologique pour l’évaluation de nodules pulmonaires uniques (diagnostic), d’infections aiguës et chroniques (telles que les abcès, la tuberculose et l’histoplasmose), d’affections inflammatoires/granulomateuses (telles que la sarcoïdose, la pleurodèse et la bronchectasie, les sites de radiothérapie) et les vaisseaux athérosclérotiques qui pourraient imiter l’accumulation tumorale.
Générateur Galli Eo™ Ga-68 et accessoires
Le Galli Eo™ est un générateur de Ga-68 inspiré des principes d’utilisation des générateurs de 99mTc. L’éluat du générateur – une solution de chlorure de gallium (68Ga) – est utilisé pour le radiomarquage in vitro de kits/molécules utilisés en imagerie par tomographie par émission de positons (TEP) et est disponible en unités de 30 mCi, 50 mCi et 100 mCi.
Galli Demo® est un dispositif de démonstration non radioactif qui permet aux utilisateurs de former le personnel à la manipulation et au fonctionnement du générateur dans un environnement sûr et sans rayonnement, garantissant une intégration fluide et une préparation à l’utilisation clinique.
Galli Cap® est l’interface utilisateur et le système de contrôle permettant de faire fonctionner le générateur Galli Eo™ Ga-68, permettant l’élution automatisée et guidée du Ga-68 pour la préparation radiopharmaceutique.
Galli Up® est un support d’accessoires conçu pour maintenir en toute sécurité le générateur Galli Eo™ Ga-68 en position verticale pendant le fonctionnement afin d’aider les utilisateurs à optimiser leur espace de travail.
Galli Mov® est un support roulant conçu pour s’adapter à la base du générateur afin de permettre un déplacement facile dans une cellule chaude.
The Galli Eo™ Ga-68 generator connected to the Galli Cap®
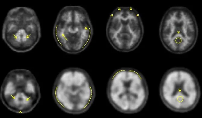
NeuraCeq™
Isologic distribue NeuraCeq™ partout au Canada.
NeuraCeq™ est un agent de diagnostic radioactif indiqué pour l’imagerie par tomographie par émission de positons (TEP) du cerveau afin d’estimer la densité des plaques névritiques β-amyloïdes chez les patients adultes atteints de troubles cognitifs qui sont évalués pour la maladie d’Alzheimer (MA) et d’autres causes de déclin cognitif.
NaF Plus
L’injection de NaF Plus est indiquée comme accessoire à la tomographie par émission de positons (TEP) pour la détection des zones d’ostéogenèse altérée associées aux métastases osseuses.
Trousse Isologic d’injection de pyrophosphate
La trousse de Isologic pour la préparation d’injection de pyrophosphate est utilisé en complément du pertechnétate de sodium (TC-99m) chez l’adulte pour l’imagerie du pool sanguin, y compris l’imagerie synchronisée du pool sanguin, et pour la détection des saignements gastro-intestinaux. Il est indiqué pour détecter les zones d’ostéogenèse altérée et faciliter le diagnostic d’infarctus du myocarde, confirmé par ECG et dosage des enzymes sériques après reconstitution avec du pertechnétate de sodium (TC-99m).
